18 May 2017

FEARS 179 KOALAS LOST TO BULLDOZERS

As part of a major campaign to save koalas, WWF-Australia today released an analysis to show tree-clearing likely killed 179 koalas in southeast Queensland in just two years, further pushing them towards localised extinctions.

Releasing his findings on Endangered Species Day (May 19), WWF-Australia conservation scientist Dr Martin Taylor said after bulldozers destroyed their forest homes the koalas would have perished.

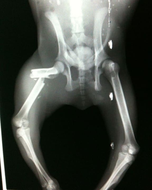
X-ray of koala with leg fracture from vehicle strike, southeast Queensland, April 2017. The koala was from the Moreton Bay region and had orthopaedic repairs on their broken limbs and was luckily able to be released
© Endeavour Veterinary Ecology

Dr Taylor said Qld Government landclearing reports showed that over 44 km2 of koala bushland – equal to about 4,400 rugby league fields – were bulldozed in SEQ from mid-2013 to mid-2015, following the weakening of tree protection by the former state government.

Using koala density maps* from the SEQ Koala Population Modelling Study, Dr Taylor calculated that the destroyed forest would have supported 179 koalas.

“Bulldoze their trees and you kiss the koalas goodbye – they’re forced to look for new homes and are then killed by cars or dogs. The only solution is state government action to rein in excessive tree-clearing” said Dr Taylor.

Research shows more than 2,000 koalas suffering fractures were taken to wildlife hospitals in SEQ over a 13-year period.

Vehicle collisions and dog attacks caused 93% of the fractures and only 2% of the injured koalas survived.

RSPCA Qld also holds grave fears for the long-term survival of koalas in southeast Queensland.

“From March 31st 2016 to April 1st 2017, a staggering 323 koalas came into our Wildlife hospital at Wacol,” said RSPCA Qld’s Michael Beatty.

“A large percentage of these were victims of traffic accidents and dog attacks and of course these incidents are linked to habitat destruction. There are also increasing concerns about where koalas can be safely re-released,” Mr Beatty said.

On the Koala Coast, koalas have declined by about 80% from 1996-2014 and in Pine Rivers koalas have declined by about 55% from 1996-2014.

It’s estimated the rate of the Koala Coast and Pine Rivers declines will result in local extinctions for some populations within a small number of generations.

A new report prepared for WWF-Australia by Dr Christine Adams-Hosking shows that koalas are declining throughout Queensland – not just SEQ – with the destruction of trees forcing koalas into increasingly fragmented pockets of habitat.

53% decline in koalas across Qld

A panel of experts estimated that in Queensland overall, koalas have declined by 53% over the past three koala generations and the next three koala generations**

In southern inland Queensland, there has been an 80% decline in koala numbers, from an estimated 59,000 in 1995 to 11,600 in 2009.

In Central Queensland, 62 koala road deaths were recorded in a three-year period as traffic volume steadily increased as the mining industry expanded.

Koala on the road by a puddle of water
Koala on the road by a puddle of water © Sue Gedda / WWF-Aus

Researchers calculated that in some locations, koalas have on average less than 40 seconds to cross the road, and a much shorter window during peak periods.

WWF-Australia’s koala campaign wwf.org.au/send-a-wildcard/donate/donate-to-regenerate-australia/ aims to save the iconic species and other wildlife by protecting forests.

WWF-Australia is encouraging people to create and send a digital origami koala, called a KIMBY (Koala In My Back yard), to key Queensland politicians to encourage them to take action to stop excessive tree-clearing.

* The University of Queensland study modelled koala density in forests in eight Local Government Areas: Moreton Bay Regional Council, Sunshine Coast Regional Council, Noosa Shire Council, Ipswich City Council, Brisbane City Council, Redland City Council, Logan City Council and Gold Coast City Council.

** A koala generation is 6 to 8 years – the time from birth to peak reproduction.

Resources:

Stills and video available on request.

Koala report can be downloaded here. 

Map showing the decline of koala populations in New South Wales and southeast Queensland – downloadable version here .

Map showing the decline of koala populations in NSW and South-East Queensland
© WWF-Australia

WWF-Australia Media Contact:

Mark Symons, Senior Media Officer, 0400 985 571